Parte del intestino de un adolescente de 13 años tuvo que ser extirpado, después de ingerir entre 80 a 100 imanes pequeños.
Cirujanos del Hospital de Tauranga, en Nueva Zelanda, dieron a conocer que el adolescente acudió al hospital con dolor abdominal y admitió haber ingerido una gran cantidad de imanes de neodimio aproximadamente una semana antes.
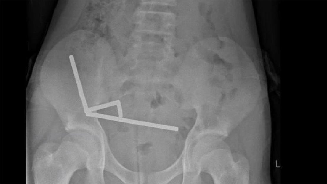
Mediante una radiografía, los médicos visualizaron cuatro cadenas lineales en diferentes partes del intestino del paciente. Una vez dentro, los pequeños objetos metálicos se unieron de forma destructiva.
Lea también: Lo tenían que operar de apéndice y le extraen parte de un órgano
Mientras se realizaba la intervención quirúrgica, los médicos encontraron las cadenas en secciones separadas del intestino delgado y el ciego. Al apretarse, causaban la muerte de varias áreas de tejido por falta de sangre, lo que se conoce como necrosis por presión.
Aunque los cirujanos se vieron obligados a extirparle parte del intestino, el adolescente se recuperó satisfactoriamente y en ocho días regresó a su hogar. De momento, se desconoce el motivo por el que el joven se tragó los imanes.
